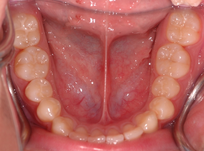
眼見不為憑!這些你肉眼全看不見,竟然有14顆 從內而爛 的蛀牙!

眼見不為憑!這些你肉眼全看不見,竟然有14顆 從內而爛 的蛀牙!

#口香糖 #無糖口香糖 #Extra #Extra口香糖

眼見為憑? 肉眼全看不見、牙一點也不痛  竟有14顆蛀牙!

 年輕學子面對接二連三的考試壓力,除了身心疲憊引發的相關症狀,若因長期準備大考而忽略口腔檢查,可能因小失大!近期就有一名李姓高中生因為感覺門牙有輕微疼痛,就診後赫然發現即使外觀全無異樣,但全口已有多達14顆齲齒,得花更多時間和精力補牙,讓他苦笑著說,真是得不償失。念華牙醫診所李楊鈞醫師指出,青少年容易在念書過程中忽略口腔清潔,例如邊K書邊吃零食但未徹底潔牙,口腔健康往往在此進入高風險期。因此提醒不論男女老少、勿忘天天「愛牙四守則」:首要是每半年進行一次口腔檢查,才能及早發現口腔問題,遠離惱人的牙痛;此外,早晚使用含氟牙膏刷牙、每天使用牙線(棒),及吃完、喝完嚼無糖口香糖或使用含氟漱口水都是日常口腔保健的不二法門。早一步發現口腔問題,不方便潔牙時先咀嚼無糖口香糖幫助日常口腔保健,就不怕齲齒悄悄找上門!

口腔保健是終身大事  唯有「吃完喝完後潔牙」才是健康自信上上策

    李楊鈞醫師進一步說明,口腔健康若出狀況,初期不見得會有明顯病徵,但口腔健康是身體健康的重要基石,不能不多留心呵護。建議家長從小培養孩子正確的口腔保健觀念與習慣,萬萬不可忽略定期口腔檢查。以此患者為例,在國小時有家長的充分照顧,得以維持牙齒健康,國中後因為課業忙碌,一方面疏忽口腔衛生,另一方面只在乎表面美觀而沒有定期回診,時隔三年因為門牙齲齒回診,雖以肉眼完全察覺不出齲齒問題,但在全口X光檢查下即發現多達14顆齲齒。李楊鈞醫師表示,觀察國內年輕學子的讀書習慣,多會邊讀書邊食用含糖飲料或零食,且時間可能長達數小時。口腔在食用甜食後五分鐘內就會立刻變成酸性環境,讓蛀牙菌有機會侵蝕牙齒珐瑯質、開始脫鈣,大幅提升齲齒機率。民眾若輕忽吃完喝完後確實潔牙,一不小心就會釀成大問題,把握飲食後10分鐘的黃金潔牙時間,養成正確潔牙習慣,才能保護口腔健康。

   

李楊鈞醫師建議,學子若在念書過程中不方便潔牙,可以考慮選擇無糖飲品和零食,避免讓口腔長時間處於酸性環境,或在吃完喝完後嚼無糖口香糖增進唾液分泌(與靜止狀態比較,嚼無糖口香糖可以增加10倍唾液流量),中和口腔酸性、抑制牙菌斑等酸性物質的生成,提供更多修復被酸破壞的牙面所需之離子,並幫助清潔食物殘渣。除此之外,不論長幼都應天天「愛牙四守則」,每半年進行一次口腔檢查,早晚使用含氟牙膏刷牙、每天使用牙線(棒),以及吃完、喝完嚼無糖口香糖或使用含氟漱口水,時時守護牙齒健康。台灣箭牌企業事務總監賴櫻暖表示:「Extra®無糖口香糖的防齲作用獲得『FDI世界牙醫聯盟(FDI)』的認同,Extra®無糖口香糖-薄荷也獲得國家健康食品認證1,經科學證實能有助於降低蛀牙發生率。在吃完、喝完食物後的如果不方便刷牙,建議咀嚼2粒Extra®無糖口香糖,透過刺激唾液大量分泌中和口中酸性,維護口腔健康。」

※備註:

  1. 益齒達®無糖口香糖-薄荷,榮獲國家健康食品認證(許可證字號:衛署健食字第A00058號),具保健功效:1)可減少口腔內的牙菌斑。2)可減少牙菌斑內突變形鏈球菌數量(Streptococcus mutans)。3)有助於降低蛀牙的發生率。
熱門文章
甲骨文大規模裁員 高達3萬名員工受影響
甲骨文大規模裁員 高達3萬名員工受影響

藝點新聞

首屆大林關公文化節結合閩南百年洪瀨天香夜巡活動震撼登場
首屆大林關公文化節結合閩南百年洪瀨天香夜巡活動震撼登場

【『好報』報系:台灣好報】

全國明輝盃木球錦標賽揭曉 金門榮獲2銀1銅
全國明輝盃木球錦標賽揭曉 金門榮獲2銀1銅

大成報

「啡揚高屏・香聚三好」 第二屆三好盃咖啡賽圓滿落幕 展現永續農業新實力
「啡揚高屏・香聚三好」 第二屆三好盃咖啡賽圓滿落幕 展現永續農業新實力

商傳媒

(有影片)/田中新民國小兒童節變身夢幻樂園 藍色校園嗨翻天
(有影片)/田中新民國小兒童節變身夢幻樂園 藍色校園嗨翻天

觀傳媒

八卦山新亮點 社頭護天宮自行車驛站公設改善大提升
八卦山新亮點 社頭護天宮自行車驛站公設改善大提升

台灣好新聞

別再摸了! 衛武營首日湧25萬人 恐龍尾巴裂開急圍三角錐 
別再摸了! 衛武營首日湧25萬人 恐龍尾巴裂開急圍三角錐 

TVBS新聞網

守護家園安全 南市府極力打造韌性承洪城市
守護家園安全 南市府極力打造韌性承洪城市

台灣好新聞

企業照顧員工安居的先驅 台積電包下飯店大樓提供逾300員工住宿
企業照顧員工安居的先驅 台積電包下飯店大樓提供逾300員工住宿

勁報

《陽光女子合唱團》票房破7億 小薰出國被認出驚喊:完了!
《陽光女子合唱團》票房破7億 小薰出國被認出驚喊:完了!

CTWANT

台東接連爆軍人違紀!酒吧喝酒釀2起酒駕 另1名還涉性騷擾
台東接連爆軍人違紀!酒吧喝酒釀2起酒駕 另1名還涉性騷擾

品觀點傳媒

苗栗泥水險淹出!竟是「數尾吳郭魚」塞住排水溝 網驚呆:能吃嗎
苗栗泥水險淹出!竟是「數尾吳郭魚」塞住排水溝 網驚呆:能吃嗎

TVBS新聞網

桃園北區再生水中心第一期完工啟用 每日可供應4萬噸
桃園北區再生水中心第一期完工啟用 每日可供應4萬噸

桃園電子報

(有影片)/胸悶警訊!阿嬤血管七成阻塞 植入生物適應性支架
(有影片)/胸悶警訊!阿嬤血管七成阻塞 植入生物適應性支架

觀傳媒

連假和平島兒童免費入園 基隆親子免票遊程攻略
連假和平島兒童免費入園 基隆親子免票遊程攻略

旅奇傳媒

塵封30年重生 新屋濱海植物園蛻變為守護海岸生態新地標
塵封30年重生 新屋濱海植物園蛻變為守護海岸生態新地標

台灣好新聞

嬰兒罕見脊椎裂   台灣首例!長庚「隔著媽媽肚皮修補」避免癱瘓
嬰兒罕見脊椎裂 台灣首例!長庚「隔著媽媽肚皮修補」避免癱瘓

匯流新聞網CNEWS

宜蘭上演車鵝對峙 鵝不動車不敢動「牠」先放行才過
宜蘭上演車鵝對峙 鵝不動車不敢動「牠」先放行才過

TVBS新聞網

竹市觀光巴士香山線正式啟航!高虹安邀民眾輕鬆搭乘,體驗海風陽光慢旅行
竹市觀光巴士香山線正式啟航!高虹安邀民眾輕鬆搭乘,體驗海風陽光慢旅行

民眾日報民眾網

為什麼會有不好的預感?其實是身體提前察覺了
為什麼會有不好的預感?其實是身體提前察覺了

健康醫療網

【有影】鼓聲震天、萬人隨行 桃園龍德宮四媽祖南巡400多公里震撼起馬
【有影】鼓聲震天、萬人隨行 桃園龍德宮四媽祖南巡400多公里震撼起馬

匯流新聞網CNEWS

黑石集團斥187億美元購普洛斯美國物流地產 擴增電商倉儲版圖
黑石集團斥187億美元購普洛斯美國物流地產 擴增電商倉儲版圖

商傳媒

(有影片)/腳踝韌帶全斷仍奪金 高一田徑女將7個月奇蹟復出
(有影片)/腳踝韌帶全斷仍奪金 高一田徑女將7個月奇蹟復出

觀傳媒

來一場國境之南的旅行派對 2026南國國際生活節4月10日起登場
來一場國境之南的旅行派對 2026南國國際生活節4月10日起登場

【『好報』報系:台灣好報】

桃園家長注意 今年公托候補6/1起開放登記
桃園家長注意 今年公托候補6/1起開放登記

桃園電子報

「樂天小可愛」金佳垠萌到犯規!羞收萬元電風扇 一舉動秒戀愛
「樂天小可愛」金佳垠萌到犯規!羞收萬元電風扇 一舉動秒戀愛

LIFE生活網記者-郭懿慧

動漫迷年度盛會 2026台中國際動漫節登場 新聞局:台中動漫與世界接軌
動漫迷年度盛會 2026台中國際動漫節登場 新聞局:台中動漫與世界接軌

觀傳媒

139線濕滑奪命彎?單車騎士摔飛送醫 幸無生命危險
139線濕滑奪命彎?單車騎士摔飛送醫 幸無生命危險

觀傳媒

高雄楠梓民宅火警 87歲獨居婦困「雜物迷宮」火滅清查才發現遺體
高雄楠梓民宅火警 87歲獨居婦困「雜物迷宮」火滅清查才發現遺體

CTWANT

蔣萬安拍板強拆!一樓違建不配合增設電梯直接優先拆除
蔣萬安拍板強拆!一樓違建不配合增設電梯直接優先拆除

品觀點傳媒

赴議會報告、細數施政成果 陳其邁:能為故鄉服務感到光榮
赴議會報告、細數施政成果 陳其邁:能為故鄉服務感到光榮

台灣好新聞

連滾帶爬逃離現場!澎湖男躺馬路險被撞 同伴裸奔驚嚇路人
連滾帶爬逃離現場!澎湖男躺馬路險被撞 同伴裸奔驚嚇路人

中天新聞

為應援來台卻留下!韓籍小龍女金娜妍曝契機 SJ神童也被節目圈粉
為應援來台卻留下!韓籍小龍女金娜妍曝契機 SJ神童也被節目圈粉

LIFE生活網記者-郭懿慧

(有影片)/上課10分鐘、玩樂40分鐘!忠孝小朋友嗨翻兒童節
(有影片)/上課10分鐘、玩樂40分鐘!忠孝小朋友嗨翻兒童節

觀傳媒

守護寶寶健康學步 台北慈院推動小兒髖關節超音波篩檢
守護寶寶健康學步 台北慈院推動小兒髖關節超音波篩檢

TCnews慈善新聞網

澎湖阿兵哥2度抗命玩手機!遭判刑3月得易科罰金
澎湖阿兵哥2度抗命玩手機!遭判刑3月得易科罰金

CTWANT

白沙屯媽祖進香吸40萬人報名!4/12出發 「粉紅超跑」由來曝光
白沙屯媽祖進香吸40萬人報名!4/12出發 「粉紅超跑」由來曝光

LIFE生活網記者-郭懿慧

台管血管外科學會屏東偏鄉義診 守護在地健康實踐醫療初衷
台管血管外科學會屏東偏鄉義診 守護在地健康實踐醫療初衷

品觀點傳媒

藏了10年!周杰倫求婚昆凌畫面首公開 浪漫煙火前下跪太感人
藏了10年!周杰倫求婚昆凌畫面首公開 浪漫煙火前下跪太感人

中天新聞

親子童樂翻天!臺南星際闖關×水上氣墊接力登場
親子童樂翻天!臺南星際闖關×水上氣墊接力登場

勁報

讚 54
留言 0
分享
分享
🔥觀看熱門新聞