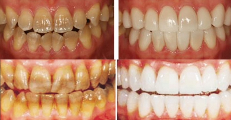
表姊一口黃牙看得好噁心,想說應該嫁不出去了,卻沒想到她竟然閃婚,原來是因為這個秘方,才5分鐘就讓她牙齒全白了...

表姊一口黃牙看得好噁心,想說應該嫁不出去了,卻沒想到她竟然閃婚,原來是因為這個秘方,才5分鐘就讓她牙齒全白了...

圖片截自新快報以及同福醫曉鈴口腔

你可聽說過茶漬牙、咖啡牙?這些都是由於沒能及時去除食物殘留在牙齒表面的汙垢,久而久之形成了牙垢導致牙齒越來越黃產生的問題。但日常的刷牙並不能真正地把牙齒變得很乾淨,很多人的牙齒都泛黃或者發黑。愛美網分享5分鐘除牙垢的方法,有效又簡單,在家就能輕輕鬆鬆清潔牙齒!

牙垢是什麼?  

圖片截自找話題,下同

常說的牙垢,實際上包括牙菌斑、軟垢和牙結石等幾部分。牙菌斑是不可見的,但它是牙周病的罪魁禍首。軟垢是口腔裡各種殘渣的沉積物,是口腔細菌的食糧。牙結石則相當於細菌的城堡,由細菌建造用來藏匿細菌。牙垢的問題不僅影響我們的牙齒美觀問題,還會引起牙齦發炎、口腔問題,所以牙垢不能留!

牙垢的問題只能預防,如果問題嚴重的是要找牙醫洗牙才能解決問題,費錢費時間還很麻煩。快來看看這9個方法,學會日常清潔牙垢,就不用總跑醫院洗牙啦!

  1. 草莓去牙垢

  材料:草莓一顆,發酵粉1/2茶匙。

  方法:將草莓碾成糊狀,與發酵粉充分混合,用一個柔軟的牙刷將混合物均勻塗在牙齒表面,5分鐘後用牙膏將混合物刷掉,然後漱口。

  體驗心得:這個方法可是編輯從美國的一本雜誌上看到的,可神奇了!雜誌上說:草莓中含有的蘋果酸可以作為一種收放劑,清除牙齒表面的汙點。當於蘋果酸和發酵粉混合時,它就成為一種天然的牙齒清潔劑,可以去除咖啡,紅酒和可樂在牙齒表面留下的汙漬。最牛的一句話就是,它可以“迅速而便宜地點亮你的微笑”。看完那篇報導後,編輯直接毫不猶豫地買了3斤草莓,兩包發酵粉!用完後,那效果更是沒話說,牙齒白的像陶瓷一樣,幸福啊!

  只是可能有草莓籽殘留在牙齒縫隙中,不過可以用牙籤去除。哦,對了!要提醒大家,不要過於頻繁地使用這種方法,否則草莓中的蘋果酸會損傷牙齒的琺瑯質,每週一次比較合適。

  2. 食醋去牙垢

  材料:食醋(陳醋、白醋都可以,但不能是醋精)

  方法:將一勺醋含在嘴裡1分鐘到3分鐘,然後吐掉,刷牙。

    體驗心得:效果也不錯,但牙齒會覺得非常的酸、麻(感覺會持續2分鐘左右)。不能連續使用或太經常做,大約2個月左右做一次就好了。否則對牙齒不利,是有緊急情況的時候,可以救急的方法(如出門約會前,發現牙齒好黃),還可以除口臭。  

  3. 紅糖刷牙法

  材料:紅糖,淡鹽水

  方法:先取適量紅糖放進口中,含15分鐘左右,使全口的牙齒都浸泡在糖液中,再用較硬實的牙刷反復刷2~3分鐘,然後用淡鹽水刷牙1~2分鐘,每日早晚各1次。

    體驗心得:這個方法稍微複雜,用的時間也長,但編輯連續試了一周左右後,牙垢有明顯地被清除掉喔。

  4. 墨魚骨去牙垢

  材料:墨魚骨

  方法:用墨斗魚的骨頭,碾碎成粉後放在牙刷上當牙膏使用,立杆見影。

    體驗心得:墨魚(烏賊)的身體裡有塊大骨頭,是白色的,用指甲刮一刮,能出來很多白色粉末,把這些粉末當牙膏用,就可以牙齒變白。  

  5. 檸檬汁去牙垢

  材料:新鮮檸檬

  方法:檸檬去皮,榨成汁。刷完牙後,用棉籤沾檸檬汁擦每一顆牙齒。要細緻地擦,但不要蘸太多的汁,每次4滴或5滴就可以了,來回蘸個6次就全部擦拭到。其原理和食醋差不多,不僅去牙垢,還能美白牙齒清新口氣。  

  體驗心得:用檸檬汁的方法要注意不要著急,一定要把牙齒全部擦到,否則第二天牙齒的顏色會很不均勻。並且檸檬有一定的酸性,所以用的時候不要貪多,否則會傷害到牙齒和牙齦。

  6. 酵母粉去牙垢

  材料:酵母粉

  方法:在刷牙的時候,在牙刷上用點酵母粉可以幫助牙齒變白的(模特們常用的方法)。  

  7. 花生去牙垢

  材料:生花生

  方法:把生花生嚼碎,不要吞下去,拿花生屑當牙膏刷牙,可以讓牙齒變白。

  8. 橘子皮去牙垢

  材料:曬乾的橘子皮

  方法:把曬乾的橘子皮磨成粉,和牙膏混在一起刷牙,牙齒很快就可以白。

  9. 白礬刷牙法

  材料:研成粉末的白礬

  方法:將白礬研成粉末後,每次用牙刷蘸一些刷牙,每日2次,可除黃色牙垢。

 文章截自找話題

熱門文章
藏了10年!周杰倫求婚昆凌畫面首公開 浪漫煙火前下跪太感人
藏了10年!周杰倫求婚昆凌畫面首公開 浪漫煙火前下跪太感人

中天新聞

139線濕滑奪命彎?單車騎士摔飛送醫 幸無生命危險
139線濕滑奪命彎?單車騎士摔飛送醫 幸無生命危險

觀傳媒

甲骨文大規模裁員 高達3萬名員工受影響
甲骨文大規模裁員 高達3萬名員工受影響

藝點新聞

桃園率六都之先 張善政:公私立國中小教科書全免費 落實義務教育精神
桃園率六都之先 張善政:公私立國中小教科書全免費 落實義務教育精神

大成報

企業照顧員工安居的先驅 台積電包下飯店大樓提供逾300員工住宿
企業照顧員工安居的先驅 台積電包下飯店大樓提供逾300員工住宿

勁報

別再摸了! 衛武營首日湧25萬人 恐龍尾巴裂開急圍三角錐 
別再摸了! 衛武營首日湧25萬人 恐龍尾巴裂開急圍三角錐 

TVBS新聞網

台管血管外科學會屏東偏鄉義診 守護在地健康實踐醫療初衷
台管血管外科學會屏東偏鄉義診 守護在地健康實踐醫療初衷

品觀點傳媒

台東接連爆軍人違紀!酒吧喝酒釀2起酒駕 另1名還涉性騷擾
台東接連爆軍人違紀!酒吧喝酒釀2起酒駕 另1名還涉性騷擾

品觀點傳媒

擁「十三冠王」豐商排球隊實力嚇壞眾人 假人「發財哥」被殺球擊倒還斷手
擁「十三冠王」豐商排球隊實力嚇壞眾人 假人「發財哥」被殺球擊倒還斷手

LIFE生活網記者-郭懿慧

連假和平島兒童免費入園 基隆親子免票遊程攻略
連假和平島兒童免費入園 基隆親子免票遊程攻略

旅奇傳媒

(有影片)/上課10分鐘、玩樂40分鐘!忠孝小朋友嗨翻兒童節
(有影片)/上課10分鐘、玩樂40分鐘!忠孝小朋友嗨翻兒童節

觀傳媒

澎湖阿兵哥2度抗命玩手機!遭判刑3月得易科罰金
澎湖阿兵哥2度抗命玩手機!遭判刑3月得易科罰金

CTWANT

確保海鮮饗宴不縮水 竹市消保官至南寮漁市輔導價格標示
確保海鮮饗宴不縮水 竹市消保官至南寮漁市輔導價格標示

台灣好新聞

彰化縣環保淨零嘉年華 邀您體驗「以物易物」的樂趣
彰化縣環保淨零嘉年華 邀您體驗「以物易物」的樂趣

焦點時報

連滾帶爬逃離現場!澎湖男躺馬路險被撞 同伴裸奔驚嚇路人
連滾帶爬逃離現場!澎湖男躺馬路險被撞 同伴裸奔驚嚇路人

中天新聞

守護寶寶健康學步 台北慈院推動小兒髖關節超音波篩檢
守護寶寶健康學步 台北慈院推動小兒髖關節超音波篩檢

TCnews慈善新聞網

高虹安化身「孩子王」現身載熙國小   嗨玩充氣城堡、套圈圈與學童同樂
高虹安化身「孩子王」現身載熙國小 嗨玩充氣城堡、套圈圈與學童同樂

民眾日報民眾網

基隆電塔絕緣裝置掉落 台電員工頭部遭砸中送醫不治
基隆電塔絕緣裝置掉落 台電員工頭部遭砸中送醫不治

中天新聞

來一場國境之南的旅行派對 2026南國國際生活節4月10日起登場
來一場國境之南的旅行派對 2026南國國際生活節4月10日起登場

【『好報』報系:台灣好報】

嬰兒罕見脊椎裂   台灣首例!長庚「隔著媽媽肚皮修補」避免癱瘓
嬰兒罕見脊椎裂 台灣首例!長庚「隔著媽媽肚皮修補」避免癱瘓

匯流新聞網CNEWS

竹市觀光巴士香山線正式啟航!高虹安邀民眾輕鬆搭乘,體驗海風陽光慢旅行
竹市觀光巴士香山線正式啟航!高虹安邀民眾輕鬆搭乘,體驗海風陽光慢旅行

民眾日報民眾網

網紅用餐掉名牌包!店家拒提供監視器 總公司霸氣解約
網紅用餐掉名牌包!店家拒提供監視器 總公司霸氣解約

中天新聞

員林市大峰巷步道全新升級 打造2.3公里大迴圈步道
員林市大峰巷步道全新升級 打造2.3公里大迴圈步道

台灣好新聞

塵封30年重生 新屋濱海植物園蛻變為守護海岸生態新地標
塵封30年重生 新屋濱海植物園蛻變為守護海岸生態新地標

台灣好新聞

守護家園安全 南市府極力打造韌性承洪城市
守護家園安全 南市府極力打造韌性承洪城市

台灣好新聞

夜尿不只是老化!醫曝「每晚2次以上」恐藏疾病警訊
夜尿不只是老化!醫曝「每晚2次以上」恐藏疾病警訊

觀傳媒

SALOMON Gravel Taiwan探索跑 劍中劍開啟城市與自然的對話
SALOMON Gravel Taiwan探索跑 劍中劍開啟城市與自然的對話

商傳媒

(有影片)/腳踝韌帶全斷仍奪金 高一田徑女將7個月奇蹟復出
(有影片)/腳踝韌帶全斷仍奪金 高一田徑女將7個月奇蹟復出

觀傳媒

赴議會報告、細數施政成果 陳其邁:能為故鄉服務感到光榮
赴議會報告、細數施政成果 陳其邁:能為故鄉服務感到光榮

台灣好新聞

桃園家長注意 今年公托候補6/1起開放登記
桃園家長注意 今年公托候補6/1起開放登記

桃園電子報

桃園舉辦異國童玩暨媽咪寶貝健康童樂會 婦幼局:傳達多元文化魅力
桃園舉辦異國童玩暨媽咪寶貝健康童樂會 婦幼局:傳達多元文化魅力

桃園電子報

台中一中驚現巨大禮物盒!美術班30週年藝術節「藝箱天開」創意登場
台中一中驚現巨大禮物盒!美術班30週年藝術節「藝箱天開」創意登場

大成報

麻疹移入增2例!北部5旬女「無紅疹」併發腦炎住加護 疾管署這麼說
麻疹移入增2例!北部5旬女「無紅疹」併發腦炎住加護 疾管署這麼說

中廣新聞

(有影片)/胸悶警訊!阿嬤血管七成阻塞 植入生物適應性支架
(有影片)/胸悶警訊!阿嬤血管七成阻塞 植入生物適應性支架

觀傳媒

高雄楠梓民宅火警 87歲獨居婦困「雜物迷宮」火滅清查才發現遺體
高雄楠梓民宅火警 87歲獨居婦困「雜物迷宮」火滅清查才發現遺體

CTWANT

苗栗泥水險淹出!竟是「數尾吳郭魚」塞住排水溝 網驚呆:能吃嗎
苗栗泥水險淹出!竟是「數尾吳郭魚」塞住排水溝 網驚呆:能吃嗎

TVBS新聞網

藝起Fun礁溪-春日好玩藝 4/11起跑馬古道公園登場
藝起Fun礁溪-春日好玩藝 4/11起跑馬古道公園登場

台灣好新聞

基隆幫派分子開槍殺友棄屍 2嫌遭起訴
基隆幫派分子開槍殺友棄屍 2嫌遭起訴

中天新聞

為應援來台卻留下!韓籍小龍女金娜妍曝契機 SJ神童也被節目圈粉
為應援來台卻留下!韓籍小龍女金娜妍曝契機 SJ神童也被節目圈粉

LIFE生活網記者-郭懿慧

邁向地方交通新紀元 「溪州鄉進元路至溪下路新闢道路工程」盛大動工
邁向地方交通新紀元 「溪州鄉進元路至溪下路新闢道路工程」盛大動工

焦點時報

讚 55
留言 0
分享
分享
🔥觀看熱門新聞