感冒好一半沒斷根?「感染後咳嗽」醫:超過3週應就醫鑑別診斷

感冒好一半沒斷根?「感染後咳嗽」醫:超過3週應就醫鑑別診斷

#咳嗽 #就醫 #感染後咳嗽 #氣管黏膜 #危險徵兆
相關人物: 蕭惠元

【記者 王雯玲/高雄 報導】33歲KTV領班在農曆新年感冒痊癒後,持續不由自主地乾咳近半個月,主管認為這樣破壞客人嗨歌氣氛,"勒令"他即刻就醫!

61歲家庭主婦春節自日本旅遊回台後感冒,發燒喉嚨痛、流鼻水鼻塞至診所就醫,服藥後症狀改善,卻斷斷續續乾咳了快一個月。

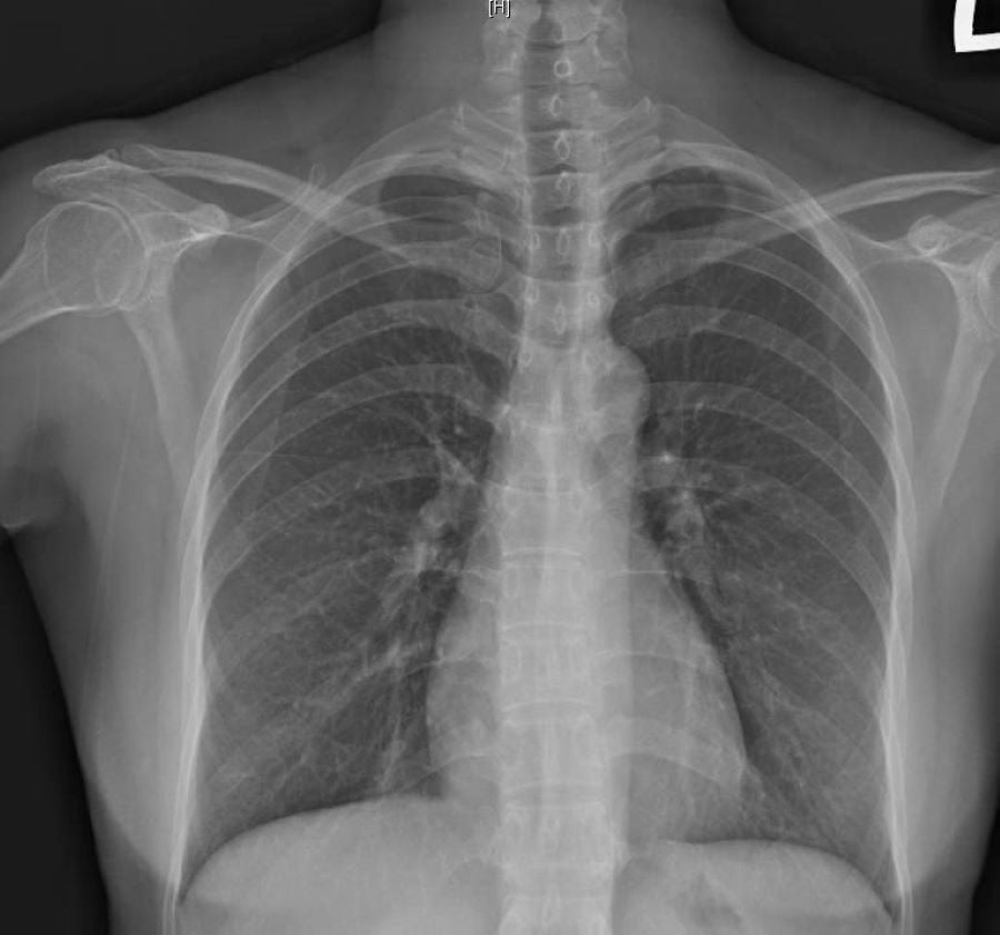
▲61歲家庭主婦的胸腔X片顯示無明顯浸潤或肺炎陰影。

胸腔內科主任蕭惠元醫師指出:每當季節交替、日夜溫差大的時期,一些流感或風寒感冒的患者的發燒、流鼻水等症狀康復後,會有持續一段時間的乾咳,甚至持續超過3週似乎咳嗽難斷根,經X光與肺活量檢查,顯示無明顯浸潤或肺炎陰影,排除肺炎、肺癌或肺結核等重大疾病後,確診為「感染後咳嗽」;經過止咳藥物治療1週左右可痊癒。

蕭惠元醫師說明:流感、風寒型感冒後,經藥物治療雖病毒已經清除,但因感染受損的氣管黏膜,在發炎後的修復過程中,對氣溫及環境仍是極為敏感的。於是,不管是喝冷飲、講話太久、吹到冷風、接觸油煙、二手菸或空污、塵螨等都可能引起喉嚨乾癢乾咳,或陣發性的爆咳、狂咳,有的患者甚至咳到漏尿或胸壁疼痛!

「感染後咳嗽」的喉嚨乾癢、乾咳會伴隨白痰或清痰。通常在2到4週內會逐漸好轉,但患有氣喘、肺阻塞或慢性支氣管炎、氣管敏感等本身氣管不佳者,恢復期可能長達兩個月,長期咳嗽則會導致咳痰、喘鳴或胸悶。

蕭惠元醫師強調:雖然「感染後咳嗽」多能自行痊癒,但仍要留意當原本的清痰轉變為黃色、綠色,變得濃稠、量多,甚至出現咳血、再度發燒等危險徵兆就應盡快檢查治療。另外,若感到呼吸困難、胸悶胸痛或有氣喘般的「咻咻」聲,顯示氣管發炎變嚴重,若未及時治療將導致缺氧、呼吸衰竭,不可輕忽。

蕭惠元醫師建議:「感染後咳嗽」的藥物治療和保養可同時進行,除了止咳藥物、含喉片,記得適時添加衣物,盡量戒菸或遠離二手菸,避免吸入空污與刺激性氣體,並練習腹式呼吸增強肺功能。以下列出幾項調養方式:

1.外出配戴口罩隔絕冷空氣、保護氣管。

2.多喝溫開水,以溫鹽水漱口殺菌。少吃容易生痰的甜食及冷飲,暫時不吃油炸辛辣酸等刺激食物。

3.戴圍巾保護氣管,睡覺時頭部墊高以避免喉頭有分泌物或異物感。

最重要的是:咳嗽可別拖超過3週,當出現危險徵兆,務必到醫院接受檢查,以排除肺炎或癌症等其他嚴重疾病。(圖/記者王雯玲翻攝)

熱門文章
李榮浩火大開嗆單依純「強行侵權」!她連道歉兩次滅火
李榮浩火大開嗆單依純「強行侵權」!她連道歉兩次滅火

記者爆料網

美德糕餅舖八德新廠落成 智慧轉型盼接軌國際商機
美德糕餅舖八德新廠落成 智慧轉型盼接軌國際商機

桃園電子報

竹科協力廠商3/31聯合徵才 17企業釋出529P職缺近8成學經歷不拘
竹科協力廠商3/31聯合徵才 17企業釋出529P職缺近8成學經歷不拘

大成報

獨/龍蝦、帝王蟹丟池裡! 台南釣蝦場限定活動 2hrs要價5千
獨/龍蝦、帝王蟹丟池裡! 台南釣蝦場限定活動 2hrs要價5千

TVBS新聞網

臺南首場大型就博會釋逾4千職缺    首導入AI模擬面試助媒合
臺南首場大型就博會釋逾4千職缺  首導入AI模擬面試助媒合

勁報

花壇食品容器廠深夜起火!場內一片霧茫茫 出動21人搶救
花壇食品容器廠深夜起火!場內一片霧茫茫 出動21人搶救

中天新聞

彰化139線櫻花大道盛開8成 粉紅花海浪漫炸裂
彰化139線櫻花大道盛開8成 粉紅花海浪漫炸裂

觀傳媒

基隆市宣布推出「長樂65專案」 115年普發6500元
基隆市宣布推出「長樂65專案」 115年普發6500元

台灣好新聞

柯文哲遭判17年聽判決臉色凝重 承諾「絕不逃亡」盼解除電子腳鐐降保
柯文哲遭判17年聽判決臉色凝重 承諾「絕不逃亡」盼解除電子腳鐐降保

CTWANT

影/彰化王功大排女落水命危 海巡警消鬼門關搶命
影/彰化王功大排女落水命危 海巡警消鬼門關搶命

中天新聞

宜蘭賓士男酒駕撞油罐車!車頭「塞進大車底」全毀
宜蘭賓士男酒駕撞油罐車!車頭「塞進大車底」全毀

品觀點傳媒

Fitbit新加坡子公司清算 Google整合健身品牌策略浮現
Fitbit新加坡子公司清算 Google整合健身品牌策略浮現

商傳媒

張善政促執行718億預算遭圍剿 桃市府傻眼:中央壓公文掐預算
張善政促執行718億預算遭圍剿 桃市府傻眼:中央壓公文掐預算

中天新聞

網紅用餐掉名牌包!店家拒提供監視器 總公司霸氣解約
網紅用餐掉名牌包!店家拒提供監視器 總公司霸氣解約

中天新聞

注意!今年「掃墓病」已爆25例   發燒+神祕焦痂就是大警訊
注意!今年「掃墓病」已爆25例 發燒+神祕焦痂就是大警訊

匯流新聞網CNEWS

喵星人升格有證!高雄宣布貓咪登記元年 神農市集吸爆人潮
喵星人升格有證!高雄宣布貓咪登記元年 神農市集吸爆人潮

【『好報』報系:台灣好報】

桃園男吵架虐貓洩憤!黃瓊慧曝最新進度:貓咪已獲救
桃園男吵架虐貓洩憤!黃瓊慧曝最新進度:貓咪已獲救

桃園電子報

大甲媽祖遶境彰化登場!警宮廟聯手簽公約防衝突
大甲媽祖遶境彰化登場!警宮廟聯手簽公約防衝突

觀傳媒

宜蘭羅東知名滷味連鎖驚見「牛筋藏刀片」!總公司:全面檢查
宜蘭羅東知名滷味連鎖驚見「牛筋藏刀片」!總公司:全面檢查

中天新聞

台南亞太棒球場開幕戰傳暴力事件!49歲男球迷動怒甩工讀生巴掌 遭中職列黑名單
台南亞太棒球場開幕戰傳暴力事件!49歲男球迷動怒甩工讀生巴掌 遭中職列黑名單

CTWANT

新竹市發錢了!長輩4月起「年領1萬元」 申請方式一次看
新竹市發錢了!長輩4月起「年領1萬元」 申請方式一次看

中天新聞

樂活襪之鄉捐血大放送:烏魚子、生活用品通通送
樂活襪之鄉捐血大放送:烏魚子、生活用品通通送

觀傳媒

高雄美濃第四公墓火警 黑鷹直升機投水滅火
高雄美濃第四公墓火警 黑鷹直升機投水滅火

中廣新聞

斗六人文親水公園正式啟用 兒童節連假來雲林就對了!
斗六人文親水公園正式啟用 兒童節連假來雲林就對了!

【『好報』報系:台灣好報】

歐爸你哪位?台姊妹遊韓遭跟蹤進巷 驚恐喊遇恐怖韓男
歐爸你哪位?台姊妹遊韓遭跟蹤進巷 驚恐喊遇恐怖韓男

TVBS新聞網

(有影片)/麥寮熱氣球3日起免費玩四天 美感教育活動陪孩子快樂成長
(有影片)/麥寮熱氣球3日起免費玩四天 美感教育活動陪孩子快樂成長

觀傳媒

台灣好行、遊北埔趣 竹縣府推出集章遊北埔老街吸引逾百民眾參加
台灣好行、遊北埔趣 竹縣府推出集章遊北埔老街吸引逾百民眾參加

勁報

【有片】桃園男疑虐待貓咪影片曝光 黃瓊慧介入要求嚴查
【有片】桃園男疑虐待貓咪影片曝光 黃瓊慧介入要求嚴查

桃園電子報

清明國5恐紫爆!「最塞時段」曝光 高公局籲搭公共運輸
清明國5恐紫爆!「最塞時段」曝光 高公局籲搭公共運輸

中天新聞

桃園地主、多屋族注意!「住宅囤積行為處理自治條例」正式上路,環境髒亂、拒絕稽查最高罰萬元?
桃園地主、多屋族注意!「住宅囤積行為處理自治條例」正式上路,環境髒亂、拒絕稽查最高罰萬元?

樂屋網

烏日國小110週年校慶熱鬧登場 盧秀燕幽默「三句話」親祝賀
烏日國小110週年校慶熱鬧登場 盧秀燕幽默「三句話」親祝賀

台灣好新聞

全台首店震撼降臨 越南 3000 家連鎖奇蹟『中原傳奇咖啡』 4月2日正式插旗桃園
全台首店震撼降臨 越南 3000 家連鎖奇蹟『中原傳奇咖啡』 4月2日正式插旗桃園

觀傳媒

壯圍奪命車禍!走錯路掉頭撞飛機車 轎車卡水溝騎士慘死
壯圍奪命車禍!走錯路掉頭撞飛機車 轎車卡水溝騎士慘死

記者爆料網

「刀插頸」女慘死台中街頭! 家屬淚求停止散播血腥照
「刀插頸」女慘死台中街頭! 家屬淚求停止散播血腥照

中天新聞

台鐵員林車站女子月台墜落遭列車撞擊! 送醫急救
台鐵員林車站女子月台墜落遭列車撞擊! 送醫急救

記者爆料網

湖東社區植樹減碳 種下荒野地詩意的想像
湖東社區植樹減碳 種下荒野地詩意的想像

觀傳媒

首創青年AI數位工具補助 竹市公佈青年政策打造友善青年發展環境
首創青年AI數位工具補助 竹市公佈青年政策打造友善青年發展環境

勁報

影/副市長竟是三商虎球星! 林琨瀚新官上任馬上清除新竹棒球場「大秘寶」
影/副市長竟是三商虎球星! 林琨瀚新官上任馬上清除新竹棒球場「大秘寶」

中廣新聞

49歲男球迷當眾掌摑中職工讀生遭黑名單 公司秒開除!本人道歉了
49歲男球迷當眾掌摑中職工讀生遭黑名單 公司秒開除!本人道歉了

CTWANT

肺癌是沉默殺手!「台灣肺癌第一刀」陳晉興揭真相 8成患者確診已晚期
肺癌是沉默殺手!「台灣肺癌第一刀」陳晉興揭真相 8成患者確診已晚期

LIFE生活網記者-郭懿慧

讚 51
留言 0
分享
分享
🔥觀看熱門新聞