頻掉牙恐是牙周與血糖雙警訊 5旬男靠這招順利保牙

頻掉牙恐是牙周與血糖雙警訊 5旬男靠這招順利保牙

重點摘要
牙齦流血、牙齒鬆動可能是牙周病警訊,延誤治療可能影響全身健康。
血糖控制不佳會大幅提升牙周病機率,與牙周病需跨科別合作治療。
口腔清潔的黃金防線是「24小時」,睡前徹底清潔尤為重要。
牙周病治療後需長期支持性治療,定期回診是關鍵。
政府提供牙周病統合照護服務,呼籲民眾建立良好潔牙與定期檢查習慣。
#全身健康 #血糖 #牙周病 #口腔健康 #定期檢查
相關人物: 吳欣哲
相關組織: 聯新國際醫院

民眾常將牙齦流血、牙齒鬆動誤認為「火氣大」或「自然老化」,卻不知這可能是全身健康的求救信號。聯新國際醫院牙科醫師吳欣哲示警,牙周病具備「沈默卻極具破壞力」的特性,若延誤就醫,牙周細菌不僅會侵蝕齒槽骨,更可能透過血液循環影響全身健康,成為口腔未爆彈。

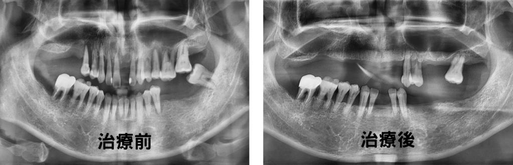
曾有一位5旬男性患者,早年因忙碌忽視牙周病,直到五年前牙齦出現腫脹疼痛以及陸續掉牙造成咀嚼困難才來求診。經吳醫師以牙周探針及X光檢查,發現牙牙齒動搖度高達2-3級,因此懷疑患者代謝系統異常,轉診後驚覺其飯後血糖竟高達410 mg/dL(正常飯後< 200 mg/dL),顯示胰島素功能失調。

▲ 曾有一位5旬男性患者,早年因忙碌忽視牙周病,直到五年前牙齦出現腫脹疼痛以及陸續掉牙造成咀嚼困難才來求診。(圖:聯新國際醫院)

 

吳醫師指出,血糖控制不佳會使牙周病機率提升2至3倍,若加上有抽菸習慣,風險將飆升至4.6倍。該患者在同步接受糖尿病與牙周病治療後,順利保住 11 顆牙並於牙周病療程結束後,進行假牙重建恢復正常咀嚼功能。同時患者亦遵從支持性療法定期回診,歷經五年追蹤,糖化血色素控制在7%以下,11顆牙也狀況良好,印證及早面對,積極治療的重要性。

針對民眾潔牙習慣,吳醫師強調「24 小時」是口腔健康的黃金防線。除了每日飯後簡易清潔,睡前務必執行最徹底的口腔清理。若有食物殘渣,細菌會利用其養分再與唾液中蛋白質結合轉化為牙菌斑,此時我們還能利用刷牙工具去除,但在24小時後,若未徹底清除,牙菌斑會再經過鈣化形成牙結石。一旦牙結石形成,僅靠刷牙或漱口水已無法有效清除。吳醫師示警,精緻飲食、手搖飲及抽菸皆是牙周惡化的推手,尤其是嚼檳榔產生的巨大咬合力,不僅加速牙齒磨損,甚至可能造成全口牙齒磨平的慘狀,使牙周環境陷入加速崩壞的惡性循環。 

當出現牙齦流血、紅腫觸痛、萎縮或有膿流出或是牙齒鬆動及持續性口臭時,極可能是牙周病的前兆。吳醫師表示牙周病的治療依病程分為不同階段,從牙齦炎到輕、中、重度牙周炎,主要目標為清除細菌、控制發炎並穩定組織。治療方式包含基礎治療(如洗牙與牙根整平術)、手術治療(如牙周翻瓣或再生手術)、以及後續重建(如植牙)。

▲ 吳醫師強調「24 小時」是口腔健康的黃金防線。(圖:聯新國際醫院)

 

「治療結束,才是長期抗戰的開始。」吳醫師強調,支持性治療是防範復發的關鍵,必須定期回診,徹底清除累積的結石與牙菌斑。臨床上常有患者在完成基礎治療或手術後,自覺症狀改善,便忽略每3至6個月的「支持性治療」重要性。他分享曾有患者在失聯 7 年後回診時,牙周病不僅全面復發,且齒槽骨損毀程度遠勝以往,最終僅能以拔牙與重建手術救治。

此外,跨科別合作亦是治療重點。除了與新陳代謝科共治糖尿病與牙周病,吳醫師提醒骨質疏鬆患者更應小心,在服用補骨藥物或施打骨針前,務必先完成牙周病診斷與治療。若牙周病未治癒便開始用藥,一旦牙齒出問題需拔除,必須停藥等待三個月,徒增患者痛苦與風險。

為推廣牙周病防治,吳醫師表示政府提供一年一次的「牙周病統合照護」,提供從完整檢查、治療到回診追蹤的健保給付服務,他呼籲牙周病是沈默的殺手,齒槽骨一旦被破壞即不可逆,民眾應建立良好潔牙與定期洗牙習慣。唯有積極面對、持續維護,才不會讓辛苦留下的牙齒再次陷入崩壞境地。 

熱門文章
安心御老全面應援 基隆榮服處守護105歲長者安置榮家
安心御老全面應援 基隆榮服處守護105歲長者安置榮家

勁報

SJ演唱會爆重大意外!欄杆突斷裂粉絲摔落B1 公司急發聲
SJ演唱會爆重大意外!欄杆突斷裂粉絲摔落B1 公司急發聲

中天新聞

(有影片)/上課10分鐘、玩樂40分鐘!忠孝小朋友嗨翻兒童節
(有影片)/上課10分鐘、玩樂40分鐘!忠孝小朋友嗨翻兒童節

觀傳媒

Alliant Energy 十億美元增資押注 AI 數據中心 轉型面臨環境與監管挑戰
Alliant Energy 十億美元增資押注 AI 數據中心 轉型面臨環境與監管挑戰

商傳媒

陳雪甄演漸凍症雕塑家 2026金穗影展必看台WAY單元
陳雪甄演漸凍症雕塑家 2026金穗影展必看台WAY單元

立報

中國駭客利用零日漏洞部署Medusa勒索軟體 鎖定全球關鍵產業
中國駭客利用零日漏洞部署Medusa勒索軟體 鎖定全球關鍵產業

商傳媒

鄭習會在即 蔡明彥示警:中共「和戰加壓」分化台美
鄭習會在即 蔡明彥示警:中共「和戰加壓」分化台美

中天新聞

高雄5機車詭異連環摔!27歲父親腦出血命危
高雄5機車詭異連環摔!27歲父親腦出血命危

品觀點傳媒

「放射治療」後遺症困擾10年 中醫調理助改善頭暈耳鳴
「放射治療」後遺症困擾10年 中醫調理助改善頭暈耳鳴

台灣好新聞

企業照顧員工安居的先驅 台積電包下飯店大樓提供逾300員工住宿
企業照顧員工安居的先驅 台積電包下飯店大樓提供逾300員工住宿

勁報

親子館突停業家長控變相吸金 許淑華籲台北市府協助集體訴訟
親子館突停業家長控變相吸金 許淑華籲台北市府協助集體訴訟

匯流新聞網CNEWS

國安局談鄭習會 蔡明彥揭中國策略「和戰加壓」分化台灣
國安局談鄭習會 蔡明彥揭中國策略「和戰加壓」分化台灣

上報Up Media

熱門亮點/手機即印鑑!點點簽整合行動自然人憑證,秒速完成數位簽章
熱門亮點/手機即印鑑!點點簽整合行動自然人憑證,秒速完成數位簽章

商傳媒

宜蘭首辦亞錦賽國手選拔 376名跆拳道菁英競逐國家隊門票
宜蘭首辦亞錦賽國手選拔 376名跆拳道菁英競逐國家隊門票

民眾日報民眾網

台中19歲女大生傳陳屍宿舍!身上見多處刀傷 校方回應了
台中19歲女大生傳陳屍宿舍!身上見多處刀傷 校方回應了

CTWANT

睽違七年島嶼天空號郵輪首航台中港 參山處聯合縣市迎賓
睽違七年島嶼天空號郵輪首航台中港 參山處聯合縣市迎賓

觀傳媒

高雄驚見機車上被放「名片、500元捲一起」!警:敲詐勒索手法
高雄驚見機車上被放「名片、500元捲一起」!警:敲詐勒索手法

中天新聞

影/高雄驚見阿北出事!倒車載妻慘「卡在輕軌上」
影/高雄驚見阿北出事!倒車載妻慘「卡在輕軌上」

中天新聞

TPG與黑石集團183億美元聯手收購Hologic 醫療科技巨頭轉型私有化
TPG與黑石集團183億美元聯手收購Hologic 醫療科技巨頭轉型私有化

商傳媒

白沙屯媽祖進香將破45萬人!   首度出動「移動急診室」
白沙屯媽祖進香將破45萬人! 首度出動「移動急診室」

匯流新聞網CNEWS

(有影片)/和美全民運動館開箱 彰化運動版圖再升級
(有影片)/和美全民運動館開箱 彰化運動版圖再升級

觀傳媒

颱風辛樂克最快明生成 最新預測路徑與對台影響曝光
颱風辛樂克最快明生成 最新預測路徑與對台影響曝光

中天新聞

快預約!合歡山杜鵑花季疏運 南投客運加開假日班次
快預約!合歡山杜鵑花季疏運 南投客運加開假日班次

中廣新聞

從烤雞到雞湯皆用心!新竹北區多人聚餐的熱炒合菜好選擇
從烤雞到雞湯皆用心!新竹北區多人聚餐的熱炒合菜好選擇

民生頭條

天文館親子營4/7搶先報名! 深入銀河揭開星系神祕面紗
天文館親子營4/7搶先報名! 深入銀河揭開星系神祕面紗

民眾日報民眾網

影/高雄路怒男攔公車嗆聲!外籍司機喊報警秒龜縮嚇跑
影/高雄路怒男攔公車嗆聲!外籍司機喊報警秒龜縮嚇跑

中天新聞

靜賞流蘇飄雪 來場新生南路古圳走讀之旅
靜賞流蘇飄雪 來場新生南路古圳走讀之旅

台灣好新聞

絨毛熊外交官出任務!桃市建國國中「Pebble」遠征摩爾多瓦 培養學子國際觀
絨毛熊外交官出任務!桃市建國國中「Pebble」遠征摩爾多瓦 培養學子國際觀

桃園電子報

屏東恆春「南國國際生活節」4/10起兩週末 音樂x市集熱鬧登場
屏東恆春「南國國際生活節」4/10起兩週末 音樂x市集熱鬧登場

旅奇傳媒

賣場大出清公告曝更名「康達盛通」 老顧客嘆:家樂福成回憶
賣場大出清公告曝更名「康達盛通」 老顧客嘆:家樂福成回憶

上報Up Media

「這類型」胖童抽血報告正常也別鬆懈 成年後恐仍難逃慢性病迴圈 
「這類型」胖童抽血報告正常也別鬆懈 成年後恐仍難逃慢性病迴圈 

中廣新聞

桃園污水接管普及率擺脫六都墊底!這區域也將加速推動
桃園污水接管普及率擺脫六都墊底!這區域也將加速推動

桃園電子報

花蓮縣議會保安小組考察新城分局  強化警政交流與治安作為
花蓮縣議會保安小組考察新城分局  強化警政交流與治安作為

民眾日報民眾網

金門許氏清明祭祖食福饗宴 彰化瑤林石龜與漳州大徑宗親率團交流
金門許氏清明祭祖食福饗宴 彰化瑤林石龜與漳州大徑宗親率團交流

勁報

野鹿變「飛彈」突襲!台中騎士慘遭水鹿撞翻 驚魂瞬間如電影場面
野鹿變「飛彈」突襲!台中騎士慘遭水鹿撞翻 驚魂瞬間如電影場面

CTWANT

誘騙個資代收毒包裹 屏檢查獲大麻3公斤餘
誘騙個資代收毒包裹 屏檢查獲大麻3公斤餘

匯流新聞網CNEWS

吳建豪認了曾焦慮未來!曝最大改變是「心態」 維持巔峰狀態有秘訣
吳建豪認了曾焦慮未來!曝最大改變是「心態」 維持巔峰狀態有秘訣

LIFE生活網記者-郭懿慧

夏日賞螢季相約頭城休閒農場 驚喜加碼活動開跑
夏日賞螢季相約頭城休閒農場 驚喜加碼活動開跑

旅奇傳媒

讚 94
留言 0
分享
分享
🔥觀看熱門新聞